从“断裂”到“撕脱”,“跟腱”经历了什么?
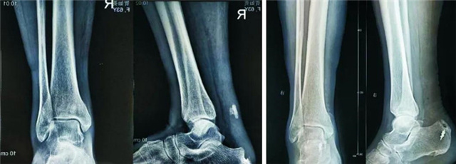
患者贺xx,女,64岁。主因绊倒致右足跟疼痛、行走无力2月余入院。2月前绊倒致右足跟部疼痛、肿胀,自行休养约1周后疼痛、肿胀消退。行走时自觉右足无力感,上坡时明显。当地医院B超检查提示跟腱连续性中断。门诊以跟腱陈旧性断裂收入。40年前有类风湿性关节炎病史,高血压病史20年。检查:右足跟及跟腱部无肿胀,无压痛,跟腱腱性部中央可触及空虚感,提踵试验阳性,Thompson征阳性。X线片:踝关节无异常,跟骨骨刺,踝关节后方皮下有一不规则高密度影。入院诊断:右跟腱陈旧性断裂。入院第3日在腰硬联合麻醉下行右跟腱陈旧性断裂修复术。取跟腱内侧切口,术中见跟骨结节撕脱骨折,骨折块约2.5cm×1.5cm,与跟腱一起回缩4.5cm。术中证实为跟骨结节撕脱骨折。钝性分离粘连跟腱,足跖屈位复位跟骨结节撕脱骨块,克氏针临时固定,锚钉拧入跟骨内,锚钉线缝合固定撕脱骨块和跟腱。

本例误诊原因分析:
1.跟骨骨折约占全身骨折的1.2%,跟骨后结节撕脱骨折占跟骨骨折的1%-3%。发病率很低,临床经验少,易误诊及漏诊。
2.阅片不仔细,受跟骨骨刺干扰,未能认识跟骨后结节撕脱骨折,误认为是陈旧性跟腱断裂形成的钙化。
3. 提踵试验阳性、Thompson征阳性为跟腱断裂的诊断依据,本例撕脱骨块回缩4.5cm,类似跟腱断裂,导致误诊。
4. 患者有类风湿性关节炎病史,认为易引起肌腱慢性炎症,轻微外伤可导致肌腱断裂,忽略了撕脱骨折。
5.如术前行MRI检查可避免误诊。
太原长城骨伤手外科医院预约热线:0351-2911111
地 址:太原市平阳路14号(南内环十字路口东南角)
联系电话:0351—2911111
乘车路线:3路、4路、13路、21路、27路、39路、52路、606路、606支、804路、807路、813路 财大北校站下车
(张丽 闫珊)
山西日报、山西晚报、山西农民报、山西经济日报、山西法制报、山西市场导报所有自采新闻(含图片)独家授权山西新闻网发布,未经允许不得转载或镜像;授权转载务必注明来源,例:"山西新闻网-山西日报 "。
山西新闻网版权咨询电话:0351-4281485。如您在本站发现错误,请发贴至论坛告知。感谢您的关注!
凡本网未注明"来源:山西新闻网(或山西新闻网——XXX报)"的作品,均转载自其它媒体,转载目的在于传递更多信息,并不代表本网赞同其观点和对其真实性负责。